أعلن أطباء في اليابان، أمس الخميس، أنهم أجروا بنجاح أول عملية زرع أنسجة رئوية في العالم من متبرعين أحياء إلى مريضة تعاني من تلف رئوي حاد جراء فيروس كورونا المستجد.
وقال مستشفى جامعة كيوتو في بيان إن المتلقية، التي تم تحديدها فقط على أنها من منطقة كانساي بغرب اليابان، تتعافى بعد العملية التي استمرت 11 ساعة تقريباً يوم الأربعاء. وأضاف أن زوجها وابنها، اللذين تبرعا بأجزاء من رئتيهما، في حالة مستقرة.
مستشفى كيوتو الجامعي
وقالت الجامعة إنها كانت أول عملية زرع أنسجة رئوية في العالم من متبرعين أحياء إلى شخص مصاب بتلف الرئة جراء الإصابة بالإصابة بكوفيد-19. ولا تزال عمليات نقل أعضاء من متبرعين متوفين دماغياً نادرة في اليابان، ويعتبر المتبرعون الأحياء خياراً أكثر واقعية للمرضى.
وقال الدكتور هيروشي ديت، جراح الصدر في المستشفى الذي قاد العملية، في مؤتمر صحافي: "لقد أثبتنا أن لدينا الآن خيار زراعة الرئة (من متبرعين أحياء). أعتقد أن هذا علاج يعطي أملاً للمرضى" الذين يعانون من تلف رئوي حاد من جراء فيروس كوفيد-19.
وقالت جامعة كيوتو إن العشرات من عمليات زرع أجزاء من الرئتين مأخوذة من متبرعين متوفين دماغياً لمرضى يعانون من تلف الرئة المرتبط بكوفيد-19 تم إجراؤها في الولايات المتحدة وأوروبا والصين.
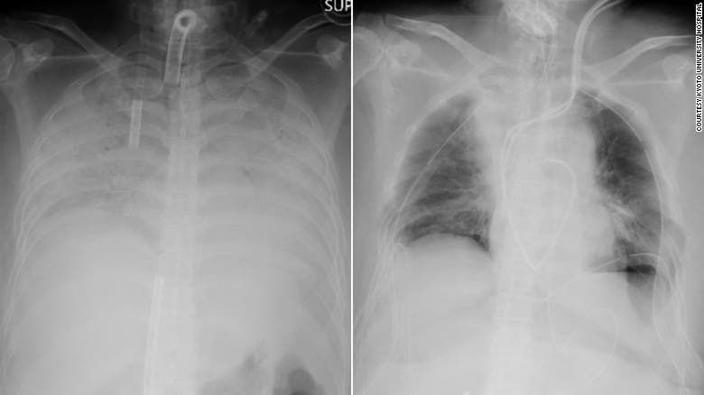
وأصيبت المرأة بكوفيد-19 في أواخر العام الماضي وعانت من صعوبات في التنفس. وتم وضعها على جهاز دعم الحياة الذي يعمل كرئة اصطناعية لأكثر من ثلاثة أشهر في مستشفى آخر بسبب تضرر رئتيها بشدة.
رئتا المريضة قبل وبعد العملية
وقالت الجامعة إنه حتى بعد أن تعافت من الفيروس، لم تعد رئتاها تعملان أو قابلتان للعلاج، والخيار الوحيد أمامها للعيش هو إجراء عملية زرع رئة.
وتطوع زوجها وابنها للتبرع بأجزاء من رئتيهما، وأجريت الجراحة في مستشفى جامعة كيوتو من قبل فريق مكون من 30 عضواً برئاسة الدكتور ديت. وتبرع زوجها بجزء من رئته اليسرى، بينما أعطى الابن جزءا من رئته اليمنى.
وقالت الجامعة إنه من المتوقع أن تتمكن المريضة من مغادرة المستشفى في غضون شهرين تقريباً والعودة إلى حياتها الطبيعية في غضون ثلاثة أشهر تقريباً.
