بعض البقع تظهر على الأسنان ولا تختفي أبدا... اليكم التفاصيل

بعض البقع تظهر على الأسنان ولا تختفي أبدا... اليكم التفاصيل
بعض البقع تظهر على الأسنان ولا تختفي أبدا... اليكم التفاصيل

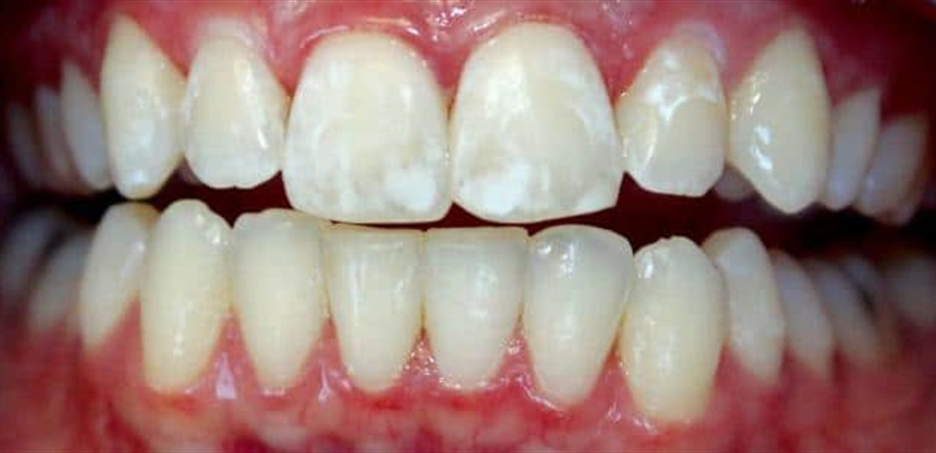
يعتمد الكثيرون منتجات تبييض الأسنان التي يمكن أن تجعل المناطق الداكنة أكثر بياضا، ومع ذلك، يظل البعض يعاني من بقع خفيفة جدا على الأسنان لا يمكن إزالتها.

وتتمثل هذه البقع البيضاء على الأسنان، والمعروفة أيضا باسم آفات البقع البيضاء، في الأماكن التي يتم فيها إزالة التكلس من المينا السطحية.


وعادة ما تكون آفات البقع البيضاء غير مؤلمة أو ضارة، ويمكن منع البقع الإضافية من خلال التغييرات والعلاجات الصحيحة في نمط الحياة.

وفي ما يلي الأسباب الأكثر شيوعا لآفات البقع البيضاء على الأسنان، وما يمكنك فعله لتقليل ظهورها ومنع ظهور آفات مستقبلية.

1. تستهلك الكثير من السكر

أكثر من 50% من المشروبات المستهلكة في العالم المتقدم عبارة عن مشروبات غازية غنية بالسكر أو مشروبات تحتوي على فواكه. وهذه مشكلة لصحة الأسنان حيث يتحد السكر الزائد مع البكتيريا في الفم لإنتاج حمض يؤدي بعد ذلك إلى تآكل المينا، ما يضعفها ويجعلها أكثر عرضة للبقع البيضاء والتسوس.


ويزداد خطر تآكل الأسنان المرتبط بالمشروبات السكرية مع تقدم العمر، حيث أشارت إحدى الدراسات إلى أن 25% من الأطفال الذين تتراوح أعمارهم بين 11 و14 عاما يعانون من تآكل كبير في الأسنان. وارتفع هذا الرقم إلى 77% لدى البالغين الذين تتراوح أعمارهم بين 20 و25 عاما.

ما يجب فعله: بمجرد ظهور هذه البقع، لا يمكنك التخلص منها. ومع ذلك، يمكنك منع ظهور المزيد من البقع عن طريق شرب وتناول أطعمة سكرية أقل.

2. سوء نظافة الفم

يقول شهروز يزداني، الرئيس التنفيذي / مدير Yazdani Family Dental Dental: "أحد الأسباب الرئيسية لهذه البقع على الأسنان هو سوء نظافة الفم والعادات التي تؤدي إلى تراكم البكتيريا في الفم"، وهذا يمكن أن يؤدي إلى شيء يسمى إزالة الكلس.

وتحدث إزالة الكلس عندما تتراكم اللويحات على الأسنان ما يؤدي إلى فقدان الكالسيوم والمعادن الأخرى.

ومن دون هذه المعادن، يمكن للحمض الناتج عن البكتيريا الموجودة في البلاك أن يذوب أو يضعف المينا ويسبب بقعا بيضاء لإزالة الكلس تكون حساسة للمس. وفي النهاية، قد تتحول هذه المناطق منزوعة الكلس إلى تجاويف.


ويضيف يزداني أن البالغين والأطفال على حد سواء معرضون للبقع الناتجة عن إزالة الكلس. وإذا كنت لا تتبع نظافة الفم المناسبة (تنظيف الأسنان بالفرشاة مرتين يوميا واستخدام الخيط مرة واحدة يوميا)، فإن خطر إصابتك بإزالة الكلس يزيد.

3. ارتداء دعامة تقويم الأسنان

يقول بول سبرينغز، أخصائي التعويضات السنية في Timeless Dentistry: "إزالة الكلس يمكن أن يحدث لأي شخص، ولكنه شائع جدا بعد تقويم الأسنان لأن دعامة الأسنان هي أرض خصبة للبكتيريا التي تسبب التآكل إذا لم تكن نظافة المريض ممتازة".

وأضاف: "بشكل عام، تظهر البقع البيضاء حيث تتراكم البلاك (اللويحات السنية)، بالقرب من الدعامات، أو عند خط اللثة، أو بين الأسنان حيث يصعب تنظيفها".

ما يجب فعله: عندما يتعلق الأمر بمنع ظهور البقع البيضاء، فقد يكون الخيار الأفضل هو تقويم الأسنان الشفاف.

ومع ذلك، فإن تقويم الأسنان الشفاف ليس مناسبا للجميع، لذا استشر طبيب الأسنان أو أخصائي تقويم الأسنان لتحديد الأفضل لحالتك.

4. وجود نقص تنسج المينا

يقول يزداني: "نقص تنسج المينا هو حالة تؤدي إلى ترقق المينا، ما يؤدي إلى ظهور بقع بيضاء على الأسنان".

ولا يعد نقص تنسج المينا حالة مرضية ولا يتطلب علاجا طبيا بشكل عام.

لذلك إذا لاحظت ظهور بقع بيضاء جديدة على أسنانك كشخص بالغ، فيمكنك استبعاد هذه الحالة. ومع ذلك، إذا لاحظت وجود مناطق صغيرة جديدة بيضاء أو متغيرة اللون على أسنان طفلك، فقد يكون السبب وراء ذلك هو نقص تنسج المينا.

ما يجب فعله: فكر في مينا الأسنان مثل الأسمنت الرطب الذي يتصلب بمرور الوقت. وعندما تكون صغيرا، يكون المينا مرنا، ويقوى مع بلوغ سن الرشد. ونظرا لأن الضرر الذي لحق بالمينا لا يتجدد بمجرد تكوينه بالكامل، وتظهر هذه الحالة في مرحلة الطفولة أو في الرحم، فلا توجد طريقة لعكس الأعراض.

5. المعاناة من التسمم بالفلور خلال الطفولة

يحدث التسمم بالفلور في الغالب في مرحلة الطفولة، عندما يتعرض الأطفال الذين تبلغ أعمارهم 8 سنوات أو أقل لتركيزات عالية من الفلورايد أثناء نمو الأسنان، ما يؤدي إلى ظهور أسنان أكثر مسامية يمكن أن تؤدي إلى ظهور بقع بيضاء.

إن ما يسبب التسمم بالفلور عادة هو تناول الكثير من الفلورايد في سن مبكرة من مصادر متعددة مثل شرب الماء بالفلورايد، واستخدام معجون الأسنان بالفلورايد، وتناول المكملات الغذائية الموصوفة.

ومثل آفات البقع البيضاء الأخرى، عادة ما تكون بقع التسمم بالفلور معتمة وأخف وزنا من بقية الأسنان، ما يسهل ملاحظتها.

ما يجب القيام به: في الحالات الخفيفة من التسمم بالفلور، لا يلزم العلاج. ومع ذلك، تتوفر العديد من خيارات العلاج بالفلور لتحسين مظهر الأسنان المصابة، وتشمل إزالة البقع أو البقع المحتملة عن طريق تبييض الأسنان وإضافة طلاء راتينج صلب للأسنان التي ترتبط بالمينا (المعروفة باسم الترابط).

( بزنس إنسايدر)

اشترك فى النشرة البريدية لتحصل على اهم الاخبار بمجرد نشرها

تابعنا على مواقع التواصل الاجتماعى